【佳学基因检测】靶向药物奥拉帕尼治疗具有BRCA突变的前列腺癌患者
靶向药物基因检测导读:
有部分前列腺癌患者携带对奥拉帕尼有反应的同源重组修复突变。 由于该机制,铂类疗法的疗效可用于预测聚(二磷酸腺苷-核糖)聚合酶抑制剂(如奥拉帕尼)的疗效。佳学基因肿瘤基因检测病案案例中记录了两名神经内分泌前列腺癌患者,他们使用铂类疗法获得了超过 1 年的反应持续时间。 病例 1 在种系中具有 BRCA2 突变,而病例 2 仅在体细胞染色体中具有 BRCA2 突变。 两名患者对奥拉帕尼反应良好。根据肿瘤靶向药物基因检测的基因解码研究:顺铂和奥拉帕尼由于其药用作用可能在反应上重叠。 考虑对一些对顺铂有反应的 CRPC 患者进行基因检测可能会有用。
前列腺癌靶向药物基因检测导读:
前列腺癌 (PC) 可以通过雄激素剥夺疗法得到有效治疗。但是靶向药物基因检测病案中有些病例会发展为去势抵抗性前列腺癌 (CRPC)。 其中一些患者可能会经历不受雄激素受体 (AR) 信号介导的神经内分泌分化,从而导致神经内分泌前列腺癌 (NEPC)。 神经内分泌前列腺癌 (NEPC)使用类似于小细胞肺癌的铂类方案成功治疗。 靶向药物病案集中有两个案例,在这些案例中,BRCA 突变在铂类方案成功后被确认,随后对奥拉帕尼的反应得到证实。
前列腺靶向药物病案例介绍:
病例1
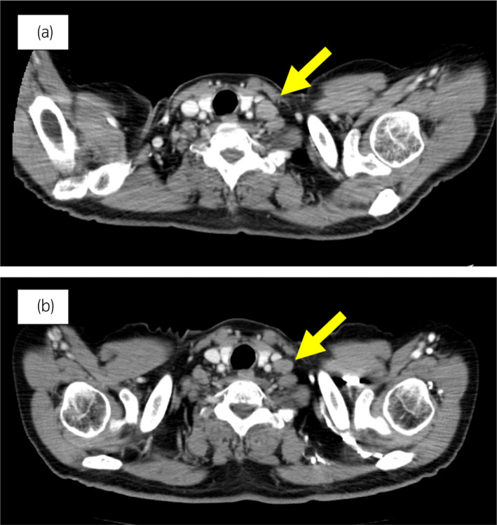
70 岁男性被诊断为转移性 PC,cT3bN1M1b,Gleason 评分(GS)为 4 + 5 = 9,前列腺特异性抗原(PSA)水平为 40.8ng/ml,3 年前伴有胸椎转移。 对前列腺进行联合雄激素阻断 (CAB) 治疗和质子放射治疗 (78.0Gy/39fr)。 PSA 水平降至 <0.01ng/ml,CAB 在 2.5 年后停止。 停止 CAB 五个月后,他出现背痛,PSA <0.01 ng/ml。 计算机断层扫描 (CT) 扫描检测到多处肝、骨和淋巴结转移,神经元特异性烯醇化酶 (NSE) 水平高达 171ng/ml(图 1a)。 骨转移活检显示神经内分泌前列腺癌 (NEPC) 的诊断(图 2),患者被转诊至佳学基因合作医院。 内分泌肿瘤精准治疗医生用顺铂、依托泊苷和亮丙瑞林治疗。 第三个疗程后,转移部位明显缩小(图 1b)。 顺铂和依托泊苷治疗 1 年,但患者因神经病变要求停药。 他开始服用恩杂鲁胺。 治疗 3 个月后,患者出现背痛和左锁骨下淋巴结肿大(图 3a)。 肝转移保持不变,顺铂治疗后缩小。 通过肿瘤精准用药850基因检测证实了 BRCA2 突变。根据基因检测结果,主治肿瘤科医生给予了奥拉帕尼。 三个月后,背痛好转,淋巴结转移缩小,确定为部分缓解(PR)(图3b)。 肝转移灶保持不变。



病例2
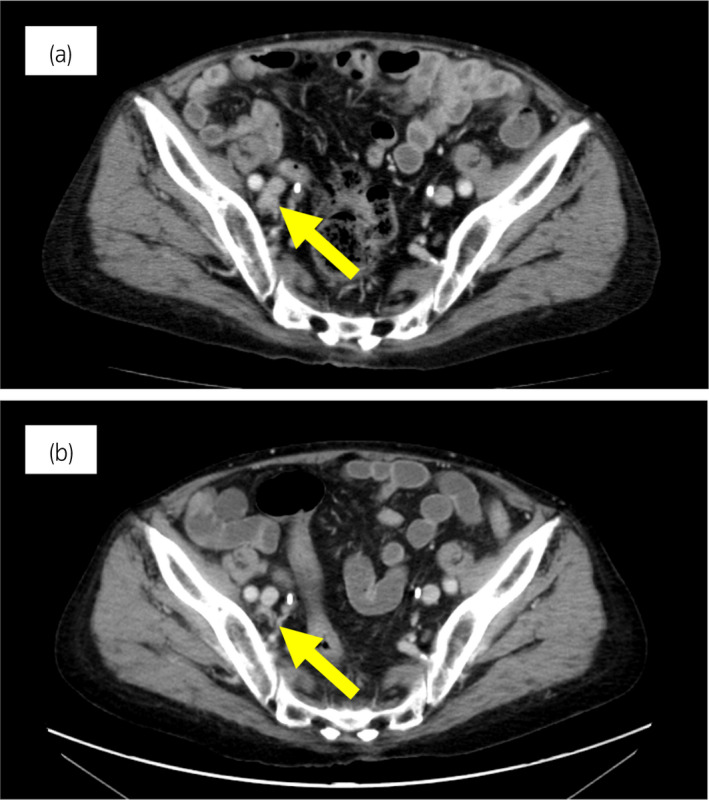
一名 78 岁男性被诊断为 cT3bN0M0,GS 为 4 + 4 =〉8,PSA 水平为 15.2 ng/ml 7 年前,并接受了前列腺切除术。 六个月后,PSA 升高并开始雄激素剥夺治疗。 两年后,开始使用比卡鲁胺治疗 CRPC。 服用比卡鲁胺五个月后,患者被转诊至佳学基因检测合作医院。 在接下来的 2 年内,依次给予恩杂鲁胺、多西他赛和卡巴他赛。 多西他赛前的 MRI 显示髂骨转移,多西他赛和卡巴他赛治疗后消失。 开始使用卡巴他赛后 6 个月,他出现双侧盆腔淋巴结肿大,并在膀胱后壁发现转移性肿瘤。 在进行经尿道切除术 (TUR) 期间,从膀胱中的转移性肿瘤获得组织样本。 病理检查显示嗜铬粒蛋白 A 阳性,NSE 水平升高,因此我们诊断为 NEPC。 卡铂和依托泊苷联合治疗缩小了肿瘤。 此后,在 24 个月内进行了 17 个疗程,疾病得到控制。 由于神经病变和疲劳而停止化疗。 随后,患者出现盆腔淋巴结转移进展(图 4a)。 通过血液检测 (BRCAnalysis®︎) 进行的基因检测对 BRCA 突变呈阴性。 使用 TUR 时收集的膀胱转移组织进行肿瘤精准用药850基因检测。 结果显示,该患者的体细胞 BRCA2 突变呈阳性。 在奥拉帕尼给药后的 3 个月内,淋巴结从 21.0mm 缩小到 7.5mm(图 4b)。 PSA 从 1.42 下降到 0.07 ng/ml,NSE 从 22.3 下降到 11.8 ng/ml。

靶向药物奥拉帕尼治疗具有BRCA突变的前列腺癌患者的收获
NEPC 是一种侵袭性变体,其特征是 AR 表达低或缺失以及神经内分泌表型的增加,但它对靶向 AR 信号的疗法没有反应。 新发 NEPC 占所有前列腺癌的 <2%,但由于转分化,治疗诱发的 NEPC 发生在 10-17% 的 CRPC 患者中。 由于强效 AR 通路抑制剂的使用增加,与治疗相关的 NEPC 的发生率一直在迅速上升。 最近的尸检系列显示,25% 的死于 CRPC 的患者有 NEPC 的迹象。
铂类化疗通常用于治疗 NEPC。 多项研究表明,铂类化疗的缓解率为 8.9-41%,无进展生存期为 5.8 个月,总生存期为 9.6-12 个月。 在《前列腺癌靶向药物治疗案例集》的两个案例中,案例 1 的响应时间超过 12 个月,案例 2 的治疗时间为 24 个月。 虽然很难直接比较,但前列腺癌靶向药物的铂类治疗的 NEPC 病例在相对较长的时间内有效。
同源重组修复相关基因(如 BRCA1/2)发生有害改变的 CRPC 患者比那些精通同源重组修复的患者具有更严重的疾病侵袭性。 最初分配接受奥拉帕尼治疗的男性在 BRCA1、BRCA2 或 ATM 中至少有一个突变的转移性 CRPC 中,总生存期明显长于分配接受恩杂鲁胺或阿比特龙治疗的男性。 奥拉帕尼也被批准用于治疗卵巢癌和乳腺癌。 靶向药物基因解码评估了奥拉帕尼作为晚期卵巢癌患者维持治疗的疗效,这些患者对铂类治疗有完全或部分反应,并且有 BRCA1、BRCA2 或两种突变。 奥拉帕尼与安慰剂相比,疾病进展或死亡的风险降低了 70%。 基于这些结果,奥拉帕尼被用作铂类反应者的维持治疗。 铂类药物会引起一种称为 DNA 链间交联的 DNA 损伤,从而导致细胞死亡。 这种损伤的修复需要同源重组修复,这不会发生在 BRCA1 和 BRCA2 突变的患者中; 因此,铂类药物是有效的。 前列腺癌靶向药物基因检测推测 BRCA1/2 突变可能与对铂类治疗有反应的 NEPC 病例的高频率相关。 但是,肿瘤基因解码认为以下两点很重要。 首先,根据之前的报道,在治疗相关(诱发)NEPC 患者中,包括 BRCA 1/2 突变在内的 HRR 突变频率低于 20%。 Kosaka 等人报道了 2019 年日本 NEPC 病例中 BRCA2 突变的首次报告,但日本病例的细节尚不清楚。 有必要验证 BRCA1/2 突变是否在对铂类药物有反应的 NEPC 患者中更频繁。 其次,在我们的两个案例中,患者在反应期间由于副作用不得不停止铂类方案,然后给予奥拉帕尼,这可能导致了反应。 考虑到作用机制,铂失效后可能存在交叉耐药性。 根据我们目前的两个案例,积极考虑对一些接受过相对有效的铂类治疗的 NEPC 患者进行基因检测可能是有用的。
(责任编辑:佳学基因)