【佳学基因检测】先天性甲减怎么查基因?怎么做基因检测?
基因检测导读:
甲状腺激素(TH)抵抗(RTH)的特点是靶组织对TH敏感性降低、血清TH水平升高以及无法抑制下丘脑促甲状腺激素(TSH)分泌。RTH是《新生儿遗传病筛查》和《婚前生育基因检测》的推荐病种,其自然患病率为4万分之一。在采用致病基因鉴定工基因解码的人群中,其发病率降为低于千万分之一。基因解码揭示RTH是由编码甲状腺激素受体(THR)的_THRα_- 和_THRβ_- 基因缺陷引起的。约90%的RTH患者携带典型的常染色体显性_THRβ_突变。佳学基因在805个案例中检测出了236种突变,而突变数还在不断增加的过程中。THR同一基因的不同表达形式在各组织中分布不同,根据基因表达的相对水平,表现出不同程度的激素抵抗,这是同基因突变在不同患者出现严重程度不同的原因之一。患者在一个组织中可能出现肿瘤性甲状腺功能减退症状,而在其他组织中可能表现出甲亢症状。一些患者可能无症状,处于甲状腺功能正常状态,使得表现正常的夫妻做基因检测的必要性,这表明仅根据症状或甲状腺功能测试很难正确诊断RTH。遗传学检测是可以减少不必要的用药并促进个体化治疗的诊断工具。这里,佳学基因检测分享了男孩罹患RTH的基因检测及其指到下的个性化诊断治疗。该患者经过基因检测明确其突变为THRβ_变异c.993T>G(p.Asn331Lys)。
病例介绍
一名12个月大的男孩因甲状腺功能异常的测试结果被转诊至佳学基因合作医院的儿科内分泌科。常规临床检验表明该患者表现为高甲状腺素血症和促甲状腺激素(TSH)水平不恰当增高。这一患儿是求诊夫妻的第一个胎儿,由于早产膜破裂,在妊娠28周2天通过剖宫产分娩,没有甲状腺肿或自身免疫性甲状腺疾病(AITD)家族史。受检者的出生体重、身长和头围分别为1100克(-0.08标准差[SDS])、35厘米(-0.76 SDS)和27厘米(0.78 SDS),1分钟和5分钟Apgar评分分别为7和8。
出生后,立即启动了先证替代疗法和侵袭性呼吸机治疗。出生后6天的身体检查没有发现甲状腺肿大;然而,常规静脉血甲状腺功能测试显示TSH水平为16.67 μIU/ml(参考范围0.35-4.94 μIU/ml),游离T4(fT4)水平为2.47 ng/dl(参考范围0.7-1.48 ng/dl)。脉搏为每分钟154-166次(参考范围每分钟140-184次)。总胆红素和直接胆红素分别为7.4 mg/dl和0.78 mg/dl。尽管静脉TSH浓度<20 μIU/ml,但还是启动了左甲状腺素(10 μg/kg/天)治疗。出生后49天,TSH和fT4水平分别为75.9 μIU/ml和1.2 ng/dl,左甲状腺素剂量增加至30 μg/kg/天。 12个月时,fT4(3.22 ng/dl)持续升高,TSH水平(2.47μIU/ml)也不适当地很高,患儿被转诊至儿科内分泌科。入院时,他没有热不耐受、多汗、体重下降、便秘或发育迟缓的病史。他的年龄校正身高为73厘米(-0.12 SDS),体重7.42公斤(-1.92 SDS),血压90/60 mmHg(参考范围80-100/55-65 mmHg),心率84次/分钟(参考范围80-120次/分钟),体温为36.7°C,所有这些都在正常范围内。体格检查未观察到甲状腺肿大、甲状腺震颤或眼球突出。婴幼儿发育筛查试验的发育商数在其校正年龄的正常范围内。他的甲状腺功能测试显示血清fT4、T3和TSH水平分别为2.89 ng/dl、1.9 ng/ml和5.33 μIU/ml。观察到正常的总胆固醇(137 mg/dl;参考范围<200 mg/dl)、三酰甘油(63.8 mg/dl;参考范围<130 mg/dl)、高密度脂蛋白胆固醇(46.9 mg/dl;参考范围>40 mg/dl)和低密度脂蛋白胆固醇(77.3 mg/dl;参考范围<100 mg/dl)。血红蛋白浓度为13.9 g/dl(参考范围11.3-14.1 g/dl)。抗甲状腺球蛋白抗体和TSH受体抗体试验结果为阴性,而抗微粒体抗体为阳性(12.83 IU/ml;参考范围<12 IU/ml)。与TSH分泌性肿瘤相关的游离α亚单位(0.3;参考范围<0.7 ng/ml)和性激素结合球蛋白(SHBG; 123.8 nmol/L;参考范围41.5-150 nmol/L)没有升高。
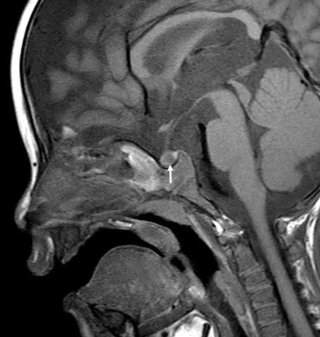
促甲状腺激素释放激素刺激试验显示TSH反应过度(基线TSH 7.02 μIU/ml; 30分钟88.55 μIU/ml; 60分钟73.4μIU/ml; 90分钟79.27μIU/ml; 120分钟64.41μIU/ml)。头颅磁共振造影未见垂体腺瘤证据;然而,发现了拉氏裂囊(图1)。甲状腺超声显示大小、轮廓、实质回声和血管性均正常,无结节。99m锝甲状腺扫描显示两侧甲状腺叶增大的摄取。
抵抗23121801.jpg)
患者 12 个月大时的蝶鞍磁共振成像扫描。 除 Rathke 裂囊肿(箭头)外,矢状 T1 加权图像正常。
医生给出的疑似诊断断为RTH,采用常规基因检测为能找到基因突变位点。采用与甲状腺功能减退相关的靶向下一代测序面板测试包括THRα、THRβ、SLC16A2、DUOX2、DUOXA2、FOXE1、GNAS、HESX1、IYD、LHX3、NKX2-1、NKX2-5、PAX8、 POU1F1、PROP1、SLC26A4、SLC5A5、TG、TPO、TRH、TRHR、TSHB 和 TSHR再次经过佳学基因完成。 从患者的外周血中提取基因组DNA。 测试显示 THRβ 存在前杂合子 c.993T>G (p.Asn331Lys) 突变。 (图 2、3)计算机分析(MutationTaster、PolyPhen-2 和 SIFT)预测该突变是有害的 (PP3)。 该变体在2021年以前未被数据库收录,这是各种基因检测为阴性的原因之一。基因解码分析该突变位于编码 T3 结合域的突变“热点”(PM1) 。 根据 1000 Genomes Browser(2,504 人,http://phase3browser.1000genomes.org)和 ExAC(60,706 人,http://exac.broadinstitute.org/)数据库和 gnomAD v2.1.1(https://phase3browser.1000genomes.org/)的数据 /gnomad.broadinstitute.org),该变异在对照个体(PM2)中不存在。 此外,在同一位点 (PM5) 还报道了包括 c.993T>G (p.Asn331Lys) 在内的错义致病突变。 因此,根据 ACMG/AMP 指南,该变异被归类为可能致病(≥3 个中等,1 个支持)。 患者无兄弟姐妹,父母甲状腺功能正常; 由于经济原因,父母不同意对自己进行基因检测。留下再次生育患病孩子的可能性。
抵抗23121802.jpg)
骨龄 X 线照片显示实际年龄为 4 岁 8 个月。 使用 Greulich 和 Pyle 方法测定骨龄为 3 岁。
抵抗23121803.jpg)
(A) 患者的家谱。 (B) 用于遗传分析的外显子组测序。 在 THRB 中发现杂合错义变体 c.993T>G (p.Asn331Lys)。
抵抗23121804.jpg)
THRB 突变热点的结构和表示以及已识别的致病变异。
大多数 THRβ 突变集中在外显子 7 和 10 之间的 3 个“热点”(234-282、310-353、429-461); 在本例中,鉴定出 c.993T>G (p.Asn331Lys)。 据我们所知,之前仅报道过 3 例 RTH 患者(患者 1、2 和 3)在外显子 9 的密码子 331 处发生突变。 4号患者就是本报告中的患者。 患者1和2从其母亲那里遗传了THRβ突变,而另一位则表现出新生突变。 体检时,3名患者中有2人发现甲状腺肿。 对患者 1 和 4 进行了心动过速检查,两人的心率均在正常范围内。 测量了患者 1、3 和 4 的人体测量参数。身高和 BMI 标准偏差分别为 0.9 至 -1.75 和 0 至 -2.73。 患者 1 和 4 的测量结果表明,与实际年龄相比,骨龄有所延迟。 TSH、fT4 和 T3 水平分别为 2.2–15.2 μIU/mL、2.2–2.89 ng/dL 和 1.9–8 ng/mL。 在 3 名测试患者中发现了抗微粒体抗体。 接受检查的 2 名患者中,有 1 名发现了抗甲状腺球蛋白抗体。 患者 1 报道了长期结果,该患者在接受 0.02 mg/kg/天三碘甲状腺乙酸治疗后经历了青春期晚期,没有学习困难,并且成年后生活正常。显示在基因检测后指导下的治疗具有良了的效果。
在大多数 RTH 患者中,高水平的循环 TH 可能会补偿部分组织阻力。 因此,RTH 治疗应针对不同组织中甲状腺功能减退症和甲状腺功能亢进症的共存进行调整。 对于心动过速或震颤患者,可以考虑使用选择性β受体阻滞剂。 三碘甲状腺原氨酸 (L-T3) 治疗可能有益于甲状腺肿、多动症和精神恍惚 。 每隔一天给予超生理 L-T3(250 μg)可有效减少大症状甲状腺肿病例的甲状腺肿大小。 当 RTH 与甲状腺发育不全共存时,例如异位甲状腺或自身免疫性甲状腺炎引起的甲状腺功能减退症,需要进行左旋甲状腺素治疗。 通常需要超生理左旋甲状腺素来将血清 TSH 维持在最低的可耐受水平。 此外,应在每次剂量递增时监测这些症状以及基础代谢率、氮平衡和血清 SHBG。
事实上,RTH 患者发生 AITD 的频率较高,其中 TSH 升高刺激甲状腺内淋巴细胞,导致促炎细胞因子的产生和甲状腺细胞的破坏。 同时,由于THRβ突变而导致RTH的患者患AITD的风险比未受影响的亲属高约2倍,但甲状腺自身抗体随年龄增长的患病率不受基因型影响。 在本病例中,12月龄时抗微粒体抗体呈阳性,但仅高于正常范围。 甲状腺扫描和超声检查观察到正常的放射学结果。 3岁或4岁左右未观察到甲状腺自身免疫的血清学证据,包括抗甲状腺球蛋白抗体、TSH受体抗体和抗微粒体抗体。为了正确管理该患者,需要进一步定期评估甲状腺自身免疫。
缺乏针对 RTH 和先天性甲状腺功能减退症新生儿患者的治疗指南。 如前所述,L-T3 治疗可能是 RTH 患者的一种选择; 然而,尚无 L-T3 治疗先天性甲状腺功能减退症的报道。 因此,临床医生可以考虑左旋甲状腺素治疗。 超生理剂量左甲状腺素治疗的目标是使血清 TSH 水平恢复到接近正常,同时监测认知发育、骨成熟和生长。 为了将 TSH 维持在 5 μIU/mL 以下,对一名出现 RTH 并伴有异位甲状腺的年轻女性患者施用左旋甲状腺素(高达 350 μg/天); 然而,3岁后长期使用左旋甲状腺素治疗会导致体重增加缓慢。
总之,RTH 并不表现出特定的临床特征,但可能与心动过速、甲状腺肿、生长迟缓或其他症状有关。 由于其异质性,每个患者都应单独评估和治疗。 如果怀疑 RTH,临床医生应考虑进行甲状腺扫描或超声检查以检查甲状腺发育不良,或进行实验室检查以确定与自身免疫性甲状腺炎相关的甲状腺功能减退症。 RTH 的长期随访数据和详细的诊断和治疗策略是必要的。
类似病例的报道
https://www.ncbi.nlm.nih.gov/pmc/articles/PMC10556442/
(责任编辑:佳学基因)