【佳学基因靶向药物基因检测】一名对靶向药物耐药的患者查明突变 EGFR L718Q 突变对阿法替尼加西妥昔单抗联合治疗有反应
肿瘤耐药基因检测进展介绍
讨论化组织分子诊断与基因分析《神奇药物选择的重要标准》《Front Oncol》在 2022 Oct 31;12:995624.发表了一篇题目为《病例报告:一名患有罕见的第三代 TKI 耐药突变 EGFR L718Q 的患者对阿法替尼加西妥昔单抗联合治疗有反应》肿瘤靶向药物治疗基因检测临床研究文章。该研究由Guoqing Zhang, Beibei Yan, Yanan Guo, Hang Yang, Xiangnan Li, Jindong Li等完成。促进了肿瘤的精准治疗与个性化用药的发展,进一步强调了基因信息检测与分析的重要性。
肿瘤患者耐药后的基因检测介绍
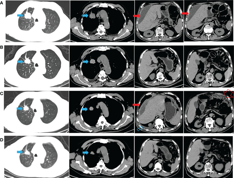
一名有大约 20 包年吸烟史的 72 岁男性主诉腹胀,于 2020 年 9 月 22 日入院。胸腹计算机断层扫描 (CT)(图 1A)和放射性核素骨扫描显示 2.8 厘米的右上肺肿块、胸水、腹水和多处骨转移(颅骨、右锁骨、多处椎骨和骨盆)。 彩色多普勒超声诊断左颈淋巴结转移。 CT引导活检示肿块为肺腺癌,诊断为右上肺腺癌多发转移(cT1bN3M1c,IVB期)。 2020 年 10 月 8 日,通过对一组 8 个癌症相关基因的下一代测序(NGS)分析了活检组织。在 EGFR 外显子 21(L858R)中检测到突变(丰度:14.5 %) 和 PIK3CA 外显子 8 (E474D)(丰度:36.6%),如图 2A 所示。 患者接受了第三代 TKI almonertinib(110 mg/d)和双膦酸盐(唑来膦酸,4 mg,q4w)的一线治疗。 最初实现了疾病稳定,但患者最终经历了疾病进展(出现胸水和腹水),无进展生存 (PFS) 时间为 12 个月(图 1B、C)。 疾病进展后,患者入住当地医院并接受顺铂(75 mg/m2,d1)和培美曲塞(500 mg/m2,d1)2个周期的化疗。 然而,胸水和腹水没有得到控制。 随后,患者入院,腹水沉渣诊断为转移性肺腺癌。 对腹水沉积物和 EGFR 外显子 21(L858R)(丰度:1.7%)、EGFR 外显子 18(L718Q)(丰度:0.8%)和 TP53 的突变进行重复检查 (V157F)(丰度:1.6%)被发现(图 2B)。


与多学科团队 (MDT) 讨论了患者的病例。 重要的是,患者已充分了解拟议治疗的益处和风险,并签署了知情同意书。 研究表明,与较高剂量的西妥昔单抗 (500 mg/m2) 相比,阿法替尼联合较低剂量的西妥昔单抗 (250 mg/m2) 可能具有更高的耐受性。 因此,2021年11月16日开始阿法替尼(40 mg/d)和西妥昔单抗(250 mg/m2,q2w)联合治疗。1个月后CT显示肺部和转移灶稳定,胸水和腹水控制良好( 图 1D)。 然后,每 2-3 个月进行一次随访,最近一次随访时间为 2022 年 6 月 8 日。 轻微的胃肠道反应是观察到的唯一不良事件 (AE)。 患者仍在接受联合方案治疗,生活质量满意,PFS近7个月。 从最初的病理诊断开始,总生存期 (OS) 超过 21 个月(图 1 )。
肿瘤基因检测及靶向药物治疗研究关键词:
表皮生长因子受体, L718Q,阿法替尼,西妥昔单抗,耐药性;肺腺癌。
肿瘤治疗检测基因临床应用结果
第三代酪氨酸激酶抑制剂 (TKI),如奥希替尼、阿莫替尼和弗莫替尼,通过掺入丙烯酰胺基团来克服对第一代抑制剂(如吉非替尼、厄洛替尼和埃克替尼)的耐药机制,该丙烯酰胺基团使 EGFR T790M 的 Cys797 烷基化。然而,耐药性是不可避免的,即使对于第三代 TKIs 也是如此。 TKI 治疗后需要通过重复活检和重复基因测序来筛查耐药突变。在各种第三代 TKI 耐药突变中,约 8% 的患者发现 EGFR 外显子 18 L718 残基的二次突变,并导致体外和体内耐药。此外,针对这种突变的靶向治疗的临床经验有限。在此,肿瘤耐药基因检测病案集报道阿法替尼和西妥昔单抗联合疗法可以克服这种耐药性。关键词:EGFR; L718Q;阿法替尼;西妥昔单抗;耐药性;肺腺癌。
肿瘤耐药后基因检测解决方案:
佳学基因长期致力于肿瘤耐药后的基因检测解决方案,得知EGFR 突变非小细胞肺癌 (NSCLC) 患者对第三代 EGFR TKI 的六大耐药机制如下:T790M 缺失、T790M 维持、EGFR 突变(C797S、G724S、L718Q)、途径旁路 活化、SCLC 转化和自噬增强。 目前正在针对每种耐药机制开发靶向治疗。 对于 C797S(+)/T790M(+) 突变的 NSCLC,西妥昔单抗联合布加替尼或 EAI045 对顺式 C797S/T790M 突变有效,而第一代 TKI 联合第三代 TKI 对反式有效 -C797S/T790M 突变。 对于具有 C797S(+)/T790M(-) 突变的 NSCLC,第一代和第二代 EGFR TKIs 是有效的。 对于其他耐药机制,正在出现有前景的靶向治疗组合(第三代EGFR TKIs联合MEK抑制剂、MET抑制剂和HER2抑制剂); 其他第四代EGFR TKIs(BLU-945、TQB3804等)也在佳学基因的探索范围中。EGFR T790M 突变导致第一代抑制剂的抑制效力降低甚至缺乏。 计算机蛋白质结构模型表明,这种效应可能是由于看门人残基的空间和亲脂特性发生变化所致。 同样,由于空间冲突显着增加和局部疏水性降低,使用第三代抑制剂的靶向治疗因 L718Q 突变而失效。临床前研究表明,不可逆的 EGFR TKI 显示出针对 T790M 的活性,这些发现还未能转化为具有临床意义的结果。 与 L718Q 突变的情况类似,研究之间也存在不一致。 一项临床前研究表明,含有 Del19/L718Q 或 L858R/L718Q 的细胞对第一代和第二代抑制剂(如吉非替尼和阿法替尼)保持敏感性。 然而,观察到对奥希替尼的强烈耐药性。 EGFR 三级突变 Del19/L718Q/T790M 和 L858R/L718Q/T790M 对第一代、第二代和第三代 TKI 耐药(表 1)。 肿瘤耐药后的基因检测解决方案的研究证明具有 Del19/L718Q/T790M 突变的细胞比具有 L858R/L718Q/T790M 突变的细胞表现出略低的耐药性。
在临床研究方面,迄今为止研究的大多数突变是 EGFR L858R/L718Q (13-17) 突变,只有两个 EGFR 三级突变,Del19/L718Q/T790M (18) 和 L858R/L718Q/T790M (19)的研究数据。 研究表明,具有复杂继发性 L718Q 突变 [EGFR L858R/L718Q或 EGFR Del19/L718Q/T790M (18)] 的患者对靶向治疗的治疗反应不佳,第一代治疗的 PFS 为 1 个月 第二代治疗4-6个月。 有趣的是,佳学基因耐药突变病案集收录了一名具有 EGFR Del19/L718Q/T790M 突变且对奥希替尼产生耐药性的患者对阿莫替尼治疗敏感。 这是令人惊讶的,因为第三代 TKIs almonertinib 和 osimertinib 具有相似的 EGFR 抑制和耐药机制。 仔细阅读该研究后,佳学基因发现发现奥希替尼因 AE 而停用,而不是如标题中所述的耐药性。 在这项研究中,阿莫替尼抑制了 EGFR Del19/L718Q/T790M 突变病灶的生长,PFS 为 4 个月,这与临床前研究的结果不一致。 EGFR Del19/L718Q/T790M 突变对阿莫替尼的敏感性可能反映了复杂突变的复杂反应; L718Q 突变也可能并不总是对阿莫替尼产生耐药性。
第二代抑制剂,如阿法替尼,可能在治疗对第一代/第三代抑制剂耐药的疾病中发挥重要作用,这意味着第二代抑制剂具有一些独特的特性。 例如,阿法替尼理论上是一种多靶点抑制剂,可以不可逆地结合EGFR的Cys797、HER2的Cys805和HER4的Cys803。 此外,阿法替尼的丙烯酰胺弹头使 Cys797 烷基化,从而规避 ATP 竞争并克服由 T790M 或 L718Q 突变引起的耐药性。 根据临床前研究,Del19/L718Q 和 L858R/L718Q 突变对阿法替尼等二代 TKI 表现出良好的敏感性; 这在临床病例中得到进一步证实,因为具有 EGFR L858R/L718Q 突变的患者在这些治疗下实现了 4 至 6 个月的 PFS。
EGFR TKI 和 EGFR 单克隆抗体 (mAb) 已联合使用以增加 EGFR 抑制的强度,因为它们可以发挥协同抗肿瘤作用,并且因为它们的组合允许减少每种药物的使用剂量,从而可以在不损害治疗效果的情况下控制 AE 影响。 在肿瘤致病基因鉴定基因解码及靶向药物的研究中,佳学基因详细检查了西妥昔单抗提高 EGFR TKI 疗效的潜在机制(例如直接抑制、受体内化和免疫效应)。 这种组合方案可能对 EGFR 外显子 20 ins 突变、C797S/T790M/敏感突变和 EGFR 基因间区 (IGR) (SEC61G) 融合/EGFR 扩增突变特别有效。
该病例的一个主要特征是原发病灶在整个治疗过程中保持稳定。 胸部不适和腹胀是疾病进展后的主要主诉。 相应地,胸腹水是almonitinib耐药的主要表现,胸腹水的控制是这种联合治疗有效的证据。 除了上述基础理论外,TP53 突变的发生可能赋予该标本阿莫替尼耐药性,而 PIK3CA 的缺失可能是对阿法替尼加西妥昔单抗敏感的潜在机制。 另一方面,NGS结果是从腹水沉积物中获得的; 因此,由于肿瘤的异质性,原发性肺肿瘤和胸水/腹水可能对治疗有不同的反应。 必要时对原发性肺部肿瘤进行基因突变检查,可提供更多信息。 最后,腹水和胸腔积液进展后的其他联合治疗模式(如 TKI 联合抗血管生成治疗和/或化疗)和其他药物递送途径(如腔内西妥昔单抗灌注联合口服阿法替尼)也可能是有趣的,值得进一步研究和探讨。
