【佳学基因检测】脑干神经瘤NF2基因检测结果阴性是怎么找到致病基因突变的?
神经鞘瘤的基因检测及靶向药物治疗概述
NF2 的双等位基因失活代表了绝大多数神经鞘瘤的主要或唯一致癌驱动基因突变。佳学基因神经外科肿瘤的基因解码与基因检测报告了一名 4 岁的女性患者,她接受了右侧髓质实质内神经鞘瘤的次全切除术。RNA 测序发现存在YAP1的外显子 5 和MAML2的外显子 2之间的翻译框内融合。YAP1-MAML2融合以前曾在多种肿瘤类型中发现过,但在神经鞘瘤中没有记录。神经外科肿瘤的基因解码与基因检测的报告扩大了致癌 YAP1 基因融合的范围,成为 NF2 失活以外的致病基因突变,包括散发性神经鞘瘤,类似于最近在 NF2 野生型儿科脑膜瘤中描述的情况。考虑到潜在的肿瘤易感综合征的高患病率,所有孤立性神经鞘瘤和脑膜瘤的年轻患者都应进行适当的体细胞和生殖系基因检测检测。在这些患者中,通过致病基因鉴定基因解码发现一种体细胞非 NF2 致病基因突变,例如这种新描述的 YAP1 融合,可以帮助确定散发性神经鞘瘤的诊断。
神经鞘瘤的基因检测及靶向药物治疗关键词:
神经鞘瘤,儿科,Mastermind,转录辅激活因子,MAML2,Yes1,转录调节因子,YAP1
神经鞘瘤的基因检测及靶向药物治疗基本知识
神经鞘瘤是偶发性或在遗传性肿瘤易感性的背景下出现的良性周围神经鞘瘤;即2型神经纤维瘤病(NF2)或神经鞘瘤病。NF2的双等位基因失活是绝大多数神经鞘瘤的主要或唯一致癌驱动基因突变;此外,SH3PXD2A-HTRA1融合也被基因解码被确定为散发性神经鞘瘤亚型的替代致癌驱动因素。在新诊断的孤立性神经鞘瘤的儿科和年轻成人患者中,高达 30% 的人最终将被诊断为遗传性肿瘤易感综合征,即 NF2 或较少见的神经鞘瘤病。然而,鉴于与假阴性种系检测结果相关的镶嵌现象的高流行率,准确确定种系状态可能很困难 。
病例案例介绍
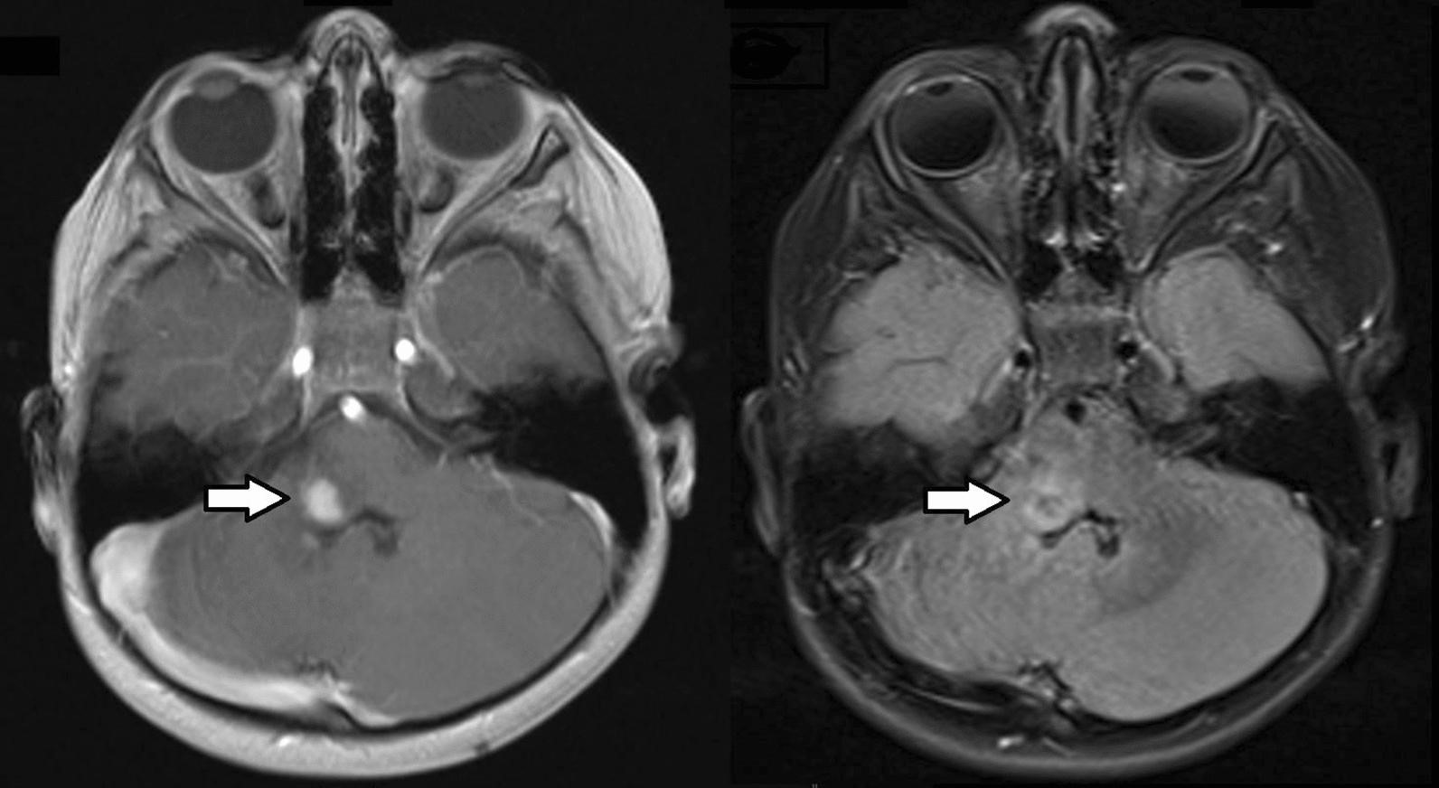
一名 4 岁女性接受了右侧髓质神经鞘瘤的次全切除术。在进行性头部倾斜的磁共振成像 (MRI) 上发现了肿瘤(图 1)。既往病史因发育迟缓和面部不对称(半面小儿)而显著。在 18 个月大时进行的先前 MRI 显示小脑发育不全,但没有肿瘤。在佳学基因进行致病基因鉴定基因解码前,采用的包括生殖系靶向基因检测包基因检测和全外显子组测序在内的综合临床基因检查结果为阴性。诊断后 8 个月的最近一次脑部 MRI 随访显示稳定的残留病灶。

图1:T1 加权增强后(左图)和 T2/FLAIR 加权(右图)磁共振图像显示部分增强的实质内右侧髓质肿瘤(箭头)。肿瘤累及下脑桥右侧、脑桥臂和小脑腹侧
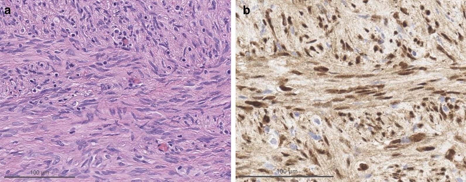
组织学检查显示肿瘤由紧密、交错的束状单形梭形细胞组成(图2a),没有维罗凯氏体或 Antoni B 区域。缺乏有丝分裂活动,肿瘤细胞沿血管局部解剖成相邻的神经实质。免疫组化研究表明,该病灶富含胶原蛋白 IV,肿瘤细胞 GFAP、EMA 和 SSTR2A 呈阴性,同时表达 S100 蛋白(细胞质/核)和 SOX10(细胞核)。

图 2:肿瘤的苏木精和伊红染色 ( a ) 和 YAP1 的免疫组织化学 ( b )
使用 Heidelberg 脑肿瘤分类 11b6版本进行的DNA 甲基化分析显示与甲基化类神经鞘瘤匹配,校准分数为 0.97。肿瘤和匹配的正常样本的配对靶向二代测序分析结果表明体细胞突变和结构变异均呈阴性,并揭示了相对平坦的 DNA 拷贝数谱,在包括YAP1基因座在内的 11q 染色体上具有焦点基因组增加和丢失(如图 3) 。使用锚定多重 PCR 的 RNA 测序揭示了YAP1的外显子 5 和MAML2的外显子 2之间的存在阅读框内融合(图 4)。在 NF2-野生型脑膜瘤 和其他癌症中记录了YAP1-MAML2融合,但在神经鞘瘤中在现有所有数据库中没有记录。正如迄今为止记录的所有 N 端 YAP1 融合中所见,在神经外科肿瘤的基因解码与基因检测的患者中检测到的融合保留了 YAP1 的 TEAD 转录因子结合域,以及 MAML2 的核定位序列和反式激活域。由此产生的融合蛋白通过组成性核定位和对蛋白酶体降解的抗性对 Hippo 肿瘤抑制途径的抑制性信号传导具有抗性 。与这些观察结果一致,神经外科肿瘤的基因解码与基因检测通过免疫组织化学证实了 YAP1 的强核定位,以及神经外科肿瘤的基因解码与基因检测患者肿瘤中较弱的细胞质标记(图 2B)。

3:来自肿瘤和匹配正常样本的配对靶向下一代测序分析的 DNA 拷贝数谱,揭示了相对平坦的 DNA 拷贝数谱,在包括 YAP1 在内的 11q 号染色体上具有焦点基因组增益(以红色表示)和缺失(以蓝色表示)轨迹。CNA:拷贝数改变

图 4:使用锚定多重 PCR 的 RNA 测序揭示了 YAP1 的外显子 5 和 MAML2 的外显子 2 之间的框内融合
神经鞘瘤的致病基因突变及其准确诊断的分析及共识
神经外科肿瘤的基因解码与基因检测在 NF2 野生型神经鞘瘤中发现的致癌YAP1-MAML2融合支持这样的观点,即通过效应器 YAP/TAZ 的典型 Hippo 信号传导是神经鞘瘤发生所必需的 。包括脑干神经鞘瘤在内的实质内神经鞘瘤是罕见的,并且在分子上没有很好的特征 。
在患有孤立性神经鞘瘤或脑膜瘤的儿科和年轻成人患者中,分别高达 30% 和 50% 将具有可识别的遗传易感性,最常见的是 NF2 。因此,建议对所有孤立性神经鞘瘤或脑膜瘤的年轻患者进行适当的临床筛查检查和肿瘤和生殖系的分子遗传学检测。然而,由于嵌合体的高患病率,在生殖系检测阴性的患者中很难排除 NF2 或神经鞘瘤病的诊断 。在此类患者中,识别出体细胞非 NF2 驱动改变,例如YAP1融合,可以帮助确定散发性神经鞘瘤或脑膜瘤的诊断信心,并且可能不需要进一步的基因或临床测试来排除遗传性肿瘤易感性综合征。
《人体基因序列变化与疾病表征》中缩写字母的文字解释
|
EMA |
上皮膜抗原 |
|
GFAP |
胶质纤维酸性蛋白 |
|
HTRA1 |
HtrA丝氨酸肽酶1 |
|
MAML2 |
Mastermind like 转录辅激活因子 2 |
|
MRI |
磁共振成像 |
|
NF2 |
NF2,moesin-ezrin-radixin 样 (MERLIN) 肿瘤抑制因子 |
|
S100 |
S100 钙结合蛋白 |
|
SH3PXD2A |
SH3 和 PX 结构域 2A 基因 |
|
SOX10 |
SRY-box 转录因子 10 |
|
SSTR2A |
生长抑素受体亚型 2A |
|
YAP1 |
Yes1 相关转录调节因子 |
(责任编辑:佳学基因)